Are you considering doing some botox to look younger? Think twice! Scientists at the Salk institute of California found a new genetic manipulation technique to rejuvenate cells. Mice that got the treatment lived 30 percent longer compared to the ones that didn't get it. Next step is to implement these cellular reprogramming techniques into the human body to set the biological clock back.
“In other studies scientists have completely reprogrammed cells all the way back to a stem-cell-like state” says author Pradeep Reddy from Salk. “But we show, for the first time, that by expressing these factors for a short duration you can maintain the cell’s identity while reversing age-associated hallmarks".
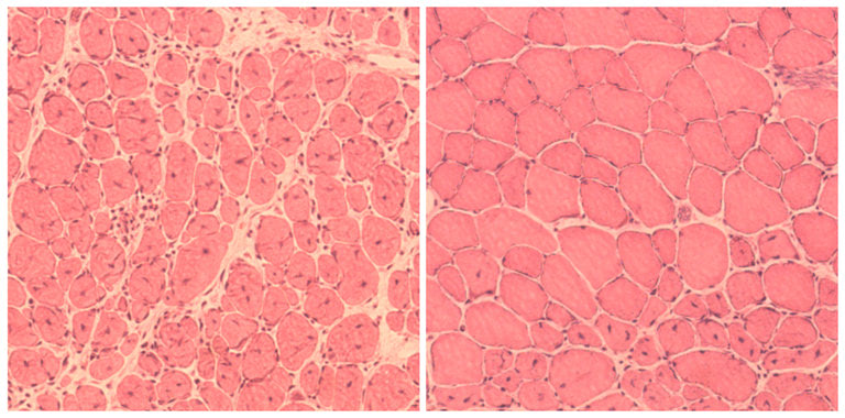
Impaired muscle repair in mice, compared with improved muscle regeneration seen after reprogramming.
In the lab small tests on human tissue showed a positive effect on the lifespan of cells. Yet, in on mice turning cells shortly back into stem cells often caused a defect. For example, the risk of tumors can get higher. In this case the cells divided uncontrolled after they were reset.
Also dosing the new technique is essential. All our cells where once stem cells. Turning all cells back into stem, results in the loss of their function temporarily. This leads to death eventually.
Despite the risks of the technique, it certainly shines a new ligt on anti-aging. Since we are all getting older every day, we better extend our life with refreshed body cells. A future application of this technique could be an injection or cream to rejuvenate body tissues. These products could be the next step in the creation of a bioengineered elixir of life.
Source: New York Times, The Indepent. Image: DMK Lab, New York Times

Comments (0)
Share your thoughts and join the technology debate!
No comments yet
Be the first to share your thoughts!